GMU:DIY Biolab “Driver’s License”/Jiannan Zhang/1.Project introduction

From Medien Wiki

1.1 Abstract

This log recorded the process of experimenting with an one cellular organism ‘slime molds’ to build a three dimensional glass art installation. The idea was inspired by the movie ‘Life’, which advocates people to have respect and fear for all creatures or they will be destroyed by their arrogance and ignorance. The experiments are mainly about trying to awake the organism and observe the survival conditions of it. I collected samples and regrow them in petri dishes under different kinds of living environment. The experiment results were not satisfying but I concluded several potential reasons for why the organism didn’t grow well.


1.2 Idea development

1.2.1 Slime mold

Slime mold or slime mould is an informal name given to several kinds of unrelated eukaryotic organisms that can live freely as single cells, but can aggregate together to form multicellular reproductive structures.

They feed on microorganisms that live in any type of dead plant material. They contribute to the decomposition of dead vegetation, and feed on bacteria, yeasts, and fungi. For this reason, slime molds are usually found in soil, lawns, and on the forest floor, commonly on deciduous logs. However, in tropical areas they are also common on inflorescences and fruits, and in aerial situations (e.g., in the canopy of trees). In urban areas, they are found on mulch or even in the leaf mold in rain gutters, and also grow in air conditioners, especially when the drain is blocked.

Slime mold.jpg


1.2.2 The feature of 'intelligence

A very well-known feature of slime mold is the remarkable ‘intelligence’ it shows to adapt itself rapidly to a living environment. In many researches, scientists and curious students proved that by utilizing this function, slime mold can even solve many difficult problems, which usually take much more time for humans to do so.

One example would be the famous maze puzzle experiment did by Dr. Nagakaki and his associates in Japan. (Link to the video: https://youtu.be/lls27hu03yw)

Puzzle experiment.jpg

If the organism is chopped up and dropped into a labyrinth (a maze), they put themselves back together and start to move. At the same time, if a food source is placed at the entrance and exit to the maze, they avoid dead ends in the maze and form a connection (as a single tube) between the food sources. In all cases, the organism chose the path that was the shortest between the two food sources. In a way, it "solved" the puzzle of finding the shortest path through the maze.


1.2.2 The inspiration

During the introduction course of slime mold, I was amazed by this experiment and it reminded me of a Hollywood movie called ‘Life’.

Life-new-poster.jpg

This movie is about a dangerous and ancient single-celled creature named Calvin. He was found on Mars and raised up in space station. When Calvin became stronger, he killed almost all the scientists in space station and controlled an astronaut to land on earth so he could dominate the planet. This scary creature has his every cell to be his eye, skin, muscle and brain.

Calvin1.jpg

It grows really fast by swallowing human bodies and moves quickly. It is also very clever to know how to manipulate people and carry out his big plan. And no doubt it was designed to be tough to survive extreme environment like low temperature and vacuum. He can also easily break a man’s arm and escape from the lab in space station by his huge strength.

Calvin2.jpg

I learnt from a Chinese knowledge communicating forum ‘Zhihu’ that the idea of Calvin was actually developed according to several organisms. And the idea of how smart it is came from slime molds. For it shows very strong adaptability and some sort of intelligence. Also for it is a single-celled organism so every part of it can grow and “analyze the change of living environment ”. The movie exaggerated about this feature but mainly the idea came from it.

So after watching and learning from this movie, it is hard for me to imagine how strong a single-celled organism can be, even it is just a science fiction. Then I had this idea to tell people the intelligence of slime mold by building an art installation according to its form of growing patterns.


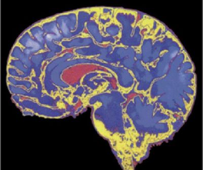
1.2.3 The resemblance between the growing patterns of slime mold and human brain section

It is easy to find out that the during certain life period of slime mold, it has a network-liked growing pattern. This usually happens when the organism tries to search for food. And there is a coincidence that this pattern resembles the cross sections of human brain very much. As a result I would like to use this as a metaphor, to tell the intelligence of slime mold by implying it thinks like a brain, though it is brainless.

Brain shaped slime mold.jpegBrain section.jpeg


1.2.4 The three dimensional glass art installation

My idea is to use clay or other soft material to simulate the growth of slime molds and inlaid in several pieces of glass like this. When we overlap the glass pieces we will see the slime molds form a three dimensional human brain.

Glass art idea.jpg

The technique refers to the three dimensional glass art. People can feel free to take out certain piece of glass to observe the slime molds model and know how powerful it is with the magic brainless intelligence. This art installation is a metaphor that every creature has its own power. We should try to understand it and respect it.

Glass art idea2.jpg

The prior option is to directly move the slime mold organism, which I planned to do experiments to grow, from petri dishes to glass slices. But before the experiment I had a concern that it could be very difficult to grow it in winter, since it is usually most active spring times (from March to May). And the living status of slime mold changes really fast that I might cannot keep it as its perfect condition. Plus it could be also troubling to move samples. Therefore I prepared two other backup plans. Either I could take photos while the samples are perfectly growing and use these to make yellow cray slices, or I could build the installation with cray slices according to pictures of growing slime mold on the internet.

But after consultation with my professor and the teaching assistant, we all agree to hold on to the plan A. Just keep experimenting and get personal understandings of the organism, even if all the test failed. The goal of this course is not to create art, but to learn by researching and experimenting the organism.

File:biolab-idea-jiannan-pdf.pdf